新闻通讯员 马婷婷
近日,一位年轻的网络达人因心源性猝死不幸离世的消息,引发全社会对心脏健康的广泛关注。不少人心存疑问:医疗技术如此发达,心源性猝死真的无法早期发现吗?近期,湖北十堰市人民医院核医学科接诊了一个病友,做了心肌灌注显像检查恰好诠释了这个问题。
56岁的李先生因“间断性心悸、胸闷10余年,再发加重”来到十堰市人民医院就诊。他既往做过冠脉造影检查,并未发现明显狭窄的血管。近期看到张雪峰心源性猝死的新闻后,李先生更加担忧自己的心脏。接诊医生分析说,80%的猝死与冠心病有关,即使冠脉造影没有明显狭窄,也不代表心肌没有缺血——有可能是冠脉微循环障碍导致心肌缺血,而常规冠脉造影无法显示微循环。在医生建议下,李先生完成了核医学科的心肌灌注显像检查。

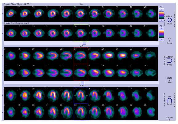
心肌灌注显像检查显示,李先生静息状态下左室各壁显像剂分布正常,但负荷状态下左室下壁显像剂轻度减低。“这提示左室下壁存在可逆性心肌缺血。”王玲医生解释,“同时门控数据提示,心脏收缩及舒张功能、室壁运动情况基本正常。”也就是说,李先生虽然没有明显血管狭窄,但部分心肌已经出现供血不足,只是心脏代偿能力较强,只有在负荷状态下,心肌才会出现缺血表现。及时的心肌灌注显像检查可以帮助医生及时调整用药方案,有效避免病情发展为心肌梗死。
临床上,很多患者会问:心电图做了,冠脉造影也做了,为什么还要做心肌灌注显像? 王玲医生形象地解释道:心电图看的是心脏的电生理活动,冠脉造影看的是血管的粗细狭窄程度,而心肌灌注显像看的是血流最终有没有送到心肌细胞里去——换句话说,就是看心肌细胞是否存活。“有些患者血管堵得不严重,但心肌已经缺血了;有些患者心电图正常,但一活动就胸闷。这个时候,心肌灌注显像往往能给出最直接的答案。”
对于心肌灌注显像检查,王玲医生进一步谈到这项检查的独特价值与优势。它能够在血管尚未明显狭窄时,就捕捉到心肌细胞供血异常,实现早期发现;它能明确缺血的部位和范围,区分可逆性缺血与不可逆坏死;它只需静脉注射显像剂,无需插管,也没有碘造影剂过敏的风险,是一种无创安全的检查手段;对于做过支架或搭桥手术的患者,它还是评估术后疗效的优选方法。
那么,哪些人可以考虑做心肌灌注显像? 王玲医生结合临床经验建议:反复胸闷、胸痛、憋气、心悸原因不明的人;心电图异常需进一步排查冠心病的人;心梗或急性冠脉综合征后,需要评估心肌活力与受损范围者;支架或搭桥术后,想了解复查恢复情况及有无再缺血的人以及高血压、糖尿病、高血脂等冠心病高危人群,都适合进行早期筛查。此外,对碘造影剂过敏或无法行冠脉造影的人,心肌灌注显像也是一个绝佳的选择。
“通过心肌灌注显像查出了隐匿缺血,避免了病情进展。”王玲医生提醒,无论从事什么职业,心脏健康才是打拼的底气,早发现、早干预,才是面对隐匿又凶险的心脏隐患的重要手段。而核医学心肌灌注显像就像一位敏锐的“功能哨兵”,可以让隐匿的缺血无处遁形。