新闻通讯员 李丹
近日,国药东风花果医院肛肠科接诊一例典型患者,该患者误以为肛门肿痛是常见痔疮发作,自行在家用药、保守休养多日,非但没有缓解反而痛感加剧,紧急就医后被确诊为肛管直肠深部脓肿。

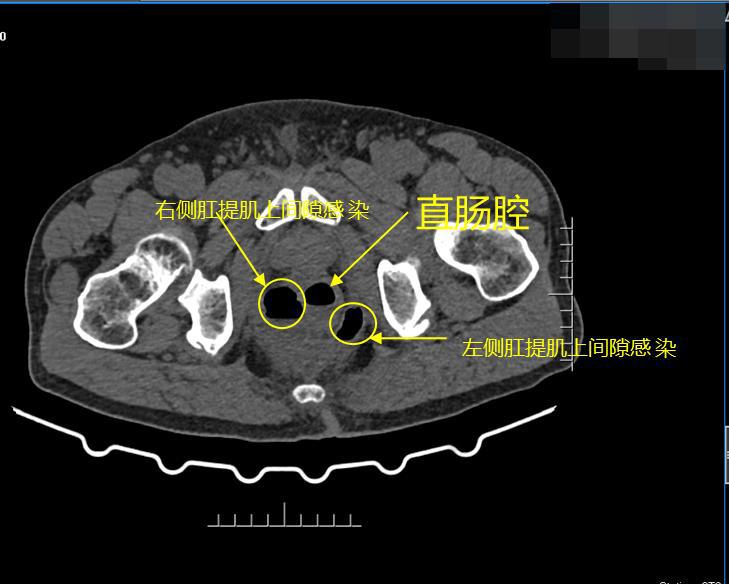
科室门诊医生凭借丰富临床经验果断精准研判病情,肛肠科团队第一时间牵头实施广泛切开引流挂线急诊手术,术中发现患者肛管直肠周围脓肿合并直肠穿孔肛提肌上间隙感染,肛肠科团队凭借高效处置、规范救治,成功阻断感染扩散,化解了危及生命的险情。
肛肠专家提醒:肛周脓肿属于肛肠科急症,绝非普通痔疮可以混为一谈,盲目拖延、居家保守治疗极易导致感染扩散,引发全身重症感染、败血症等严重后果,甚至直接危及生命。日常生活中,一旦出现肛门持续性疼痛、红肿坠胀、局部发热等不适症状,务必第一时间到正规医院肛肠科专科就诊,切勿自行判断用药,牢牢抓住最佳治疗时机。